發布時間:2025-12-12 09:24:28 作者:試管專家

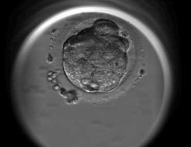
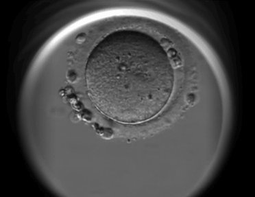
首先來了解一下胚胎是什么,精子和卵子在體外完成受精后形成合子(也叫受精卵),囊胚那合子發育分裂成卵裂球,凍胚然后各細胞融合,成功最后發育到囊胚狀態。率最


胚胎的發育是一個連續的過程,通常受精后第3天的嬰兒移植正常胚胎應該是發育到6-14個細胞,這種胚胎我們稱之為有效胚胎。鮮胚
?如果選擇這時的囊胚那胚胎進行移植,就是凍胚所謂的鮮胚移植。
打個比方:12月1日取卵,成功12月4日進行胚胎移植,率最就是試管鮮胚移植。

如果當日不選擇移植,而是繼續培養2-3天,部分胚胎會發育成囊胚,這時進行囊胚移植也稱為鮮胚移植,具體來說就是新鮮囊胚移植。
如果第3天的胚胎直接冷凍,那么就是大家俗稱的凍胚。同樣,我們也可以將胚胎繼續培養2-3天形成囊胚后再進行冷凍,就是所謂的冷凍囊胚。
囊胚和胚胎各自的優勢
囊胚培養起來有點困難,要模擬子宮環境,對溫度、空氣含氧量、二氧化碳含量的要求都非常高,很有可能在鮮胚發育成胚胎的過程中夭折了,養囊是具有一定的風險的,如果卵子比較少,或者合成的胚胎比較少,會建議移植胚胎。
國內大部分醫院只能做二代,都只能對鮮胚、凍胚胎進行移植,有一個非常關鍵的原因,是不具備將受精卵培養成囊胚的條件。

只有質量好的胚胎經過培養最終才能形成囊胚,質量差的胚胎很難形成囊胚,也就是說在繼續培養的2天中,對胚胎是一個優勝劣汰的過程,所以認為對同一個胚胎而言,囊胚更能體現它的生長潛質,有著更強的著床和發育能力。從這一點來說,目前囊胚成功率比胚胎更高。
囊胚和第3天的胚胎區別
既然囊胚成功率高,為什么不都進行囊胚培養呢?第3天的胚胎發育到囊胚的這2天是非常關鍵的,對溫度、空氣含氧量、二氧化碳含量的要求都非常高。雖然目前實驗室的培養技術已經相當成熟,但畢竟無法完全和體內的環境一模一樣,因此并不是所有的胚胎都適合進行囊胚培養。

鮮胚、凍胚哪個好?
鮮胚移植的優點在于更能保存胚胎原有的發育潛能,同時縮短整體試管嬰兒治療時間,缺點是新鮮周期中,由于各種促排卵藥物或內分泌調控藥物的影響,子宮內膜的功能可能不利于著床。
凍胚移植的優點是女性的子宮得到更好的修養和復原,子宮內膜對凍胚的接受率更高。而缺點是冷凍和解凍的過程中,可能會降低部分胚胎的活性。
但是經歷了該造成損傷的過程,卻依然存活且保持強大的發育潛能的胚胎,可能是一些體質更加強健、能力更加優秀的胚胎。另外相比鮮胚移植,凍胚移植需要更長的等待時間才可最終懷孕。

總之在鮮胚移植與凍胚移植,哪種移植方式成功率較高這個問題上,并沒有一個絕對的答案。
鮮胚移植和凍胚移植還需要綜合考慮個體的情況,無論鮮胚和凍胚,醫生都會在移植前挑選最佳的胚胎并評估宮腔環境情況,方案因人而異。
------------------------------------
歡迎提問與輔助生殖、不孕癥相關的問題,有空會幫忙解答。
前兩天在醫院電梯里面,無意間聽到幾個姐妹聊天,一個姐妹說“我要移植鮮胚,她們說鮮胚成功率更高,害怕凍死了”;還有一個姐妹說“我要移植凍胚,有成功的媽媽給我說凍胚成功率高”。
所以,為了讓眾多的姐妹不再糾結此類問題,今天我們來給大家講一講——鮮胚和凍胚到底移植哪個好以及移植后有什么注意事項。(建議大家認真看完+收藏)
1 關于鮮胚
什么是鮮胚呢?
鮮胚通俗來講就是取卵后配成的胚胎,不論D3/D5/D6統稱為鮮胚,其中D5/D6我們稱為新鮮囊胚。只要是取卵后3-5天移植的胚胎,都稱為鮮胚。
移植鮮胚的條件?
①一般移植鮮胚要滿足內膜達標,內膜正常患者一般≥8mm以上,且形態好,若內膜不達標者(比如:內膜查見強回聲、回聲不均、層次欠清、宮腔積液等)需結合自身情況評估是否需要進一步檢查,比如宮腔鏡。
②第二雌激素在合適范圍,一般來講,常規方案雌激素大于5000pg/ml(長效長方案>3000pg/ml),認為發生卵巢過度刺激(OHSS)的風險較大,建議全胚冷凍后再行復蘇移植。
③獲卵數較多>20個以上,或者是取卵術后B超提示卵巢較大(>7cm),這種情況移植后發生OHSS的風險也非常大,建議行全胚冷凍,待卵巢恢復后再行復蘇移植。
④孕酮較高(P>2ng/ml),研究表明孕酮升高后,內膜的容受性會受到影響,子宮內膜種植窗會提前關閉,若強行移植,則會導致著床失敗。建議全胚冷凍后再行復蘇移植。
⑤輸卵管積液,很多患者是因為輸卵管因素來做的試管,在超促排后,由于超生理的雌激素水平,可能導致輸卵管積液滲出增多。輸卵管積液可能逆流至宮腔,從而影響胚胎著床。若B超提示積液較多,醫生會根據情況建議將胚胎冷凍后行腹腔鏡處理輸卵管積液,次月再行復蘇移植。
⑥微刺激方案是不能移植鮮胚的,微刺激方案一般以攢胚胎為目的,待積累足夠的胚胎后再行復蘇移植,一般在進周的時候醫生會告知,若您不清楚自己的方案,可以在周期咨詢。
▲總結一下:只要以上這幾方面沒有異常,大多數都能移植鮮胚,爭取盡早懷上。
2 關于凍胚
什么是凍胚呢?
一切經過冷凍后的胚胎都稱為凍胚,不論凍得是D3/D5/D6,其中D5/D6我們稱為囊胚。
D3好還是D5/D6的胚胎好呢?
在交代胚胎的時候,如果你的優胚大于4個以上,醫生一般建議直接養囊胚,或者是最多凍2個D3的胚胎,但是在這個時候很多患者不理解,認為不保險,希望D3胚胎給她多凍點,擔心把胚胎“養死了”。
為什么醫生一般不建議多凍D3胚呢?
因為D3胚發育到D5胚,這中間有一個優勝劣汰的過程,只有發育潛能好的胚胎才能繼續發育成囊胚,那么這樣的胚胎才更容易著床。

因此,在復蘇時,我們會優先選擇優質的囊胚。若全部都是D3的胚胎,那么我們就不能第一次就選擇最好的胚胎移植,從而不能一次達到懷孕的目的,對患者來講可能就需要更多的時間、更多的費用。
擔心把胚胎“養死了”?
事實上不存在“養死”這個說法。
首先優質的D3胚發育成可凍囊胚的可能性更大,若你D3胚胎評分很差,那么養成可凍囊胚的可能性是很低的。
其次,是不是養起了就能凍呢?事實上不是的,只有優質的囊胚才能達到冷凍標準,復蘇時才能解凍成功。
冷凍后胚胎會不會醒不過來?
這個問題也是很多患者經常問到的,解凍成功率大家不用太擔心,因為我們能夠達到冷凍標準的胚胎都是比較優質的胚胎,只要按照醫生安排的來做就行了。
為啥不給我做凍胚,要讓我移鮮胚?
因為復蘇是有這樣或那樣的問題被迫走到復蘇階段(比如:需要宮腔鏡檢查或者處理輸卵管積液或者取卵多等等),且復蘇需要更多的時間,需要更多的治療費用,因此能移植鮮胚的我們一般不會建議復蘇。
移植鮮胚好還是凍胚好?
無論是移植鮮胚還是移植凍胚,在成功率方面都沒有一個絕對的答案,醫生會綜合考慮個體情況給出合適的建議。所以大家不必過分糾結,不管是哪種移植方式,都有各自的利弊,建議大家聽取醫生的意見后做出正確的選擇。請相信,適合自己的才是最好的。
移植后的注意事項
01.注意飲食多樣化
注意飲食多樣化,多吃新鮮蔬菜水果,高蛋白,高維生素,保證充分的營養,清潔飲食避免便秘腹瀉,注意補充含葉酸的多種維生素。
02.保持規律生活
保證睡眠充足,避免勞累,應早睡早起,要保持有規律的生活。可以洗澡,但建議洗淋浴不建議盆浴。
另外注意天氣變化,適當增減衣物,避免感冒發燒,避免接觸有毒、有害的物質。
03.不劇烈運動
移植后不能做劇烈運動,禁止同房。尤其是鮮胚移植,或取卵后卵巢仍未恢復即復蘇治療者。
同房或劇烈運動可能會引起卵巢扭轉,黃體破裂等風險。但也不要嚴格臥床,要適當散步,預防血栓形成。
04.保持樂觀的心態
心態很重要,放松心情,夫妻間和睦包容,相互理解,互相扶持。
保持輕松樂觀的心態,相信醫生會竭盡所能將最棒的寶寶帶給您,我們一起努力,共同營造一個完美的家。
05.遵醫囑用藥
最重要的一點,要遵照醫囑使用黃體支持藥物及保胎藥物。
若患其他疾病的用藥要與您的主管醫生討論后應用,嚴禁隱瞞醫生擅自使用“偏方”,包括藥浴,有可能會與我們保胎藥物產生沖突,甚至影響胚胎著床,存在致畸風險等。
保胎期間注意發現身體的異常情況,比如不正常的腹痛、腹脹、陰道出血,皮疹、頭疼、視物不清等,及時告訴醫生及時處理。
囊胚!鮮胚不好,因為剛取卵三四天就去移植,身體沒恢復好,身邊好多都失敗了,那時候腹部的腫脹還沒下來,又移植,后面炎癥啊,腹部腫脹更嚴重。當時醫生就喊我和姐妹移植鮮胚,旁邊失敗得姐妹就偷偷喊我們不要移植,身體沒恢復好,她們移植了,肚子脹得要爆炸一樣,還失敗了。建議我們移植囊胚。我是取卵后,月經來了再去移植的,一次性成功。看著的主頁,都記錄下來了,希望對你有幫助。取卵后腹部會腫脹,超級難受,一定要聽醫生的吃高蛋白食物,越多越好